健康宣教
健康科普 | 胃石症的预防和治疗
胃石症 | 山楂消食,谨防胃石

酸甜可口的山楂是秋冬季节的应季水果,人们常会吃它来“健健脾胃,软化血管”,传统中医认为山楂味甘酸,性平,确有消食化积、活血化瘀等作用,然而服用不当也会导致胃石的发生。
近期,我院消化科收治了几位腹痛的患者,问诊后发现都有空腹进食山楂的诱因,经检查确诊为胃石症,后经胃镜下碎石治疗后好转出院。

什么是胃石症
胃石症,这个名字听起来可能有点陌生,简单来说,就是胃里形成了一些“小石头”。这些“小石头”是进食的某种食物、物品或异物,它们既不能被消化,又不能及时排出,在胃内滞留并聚结成团状,或和胃黏液凝结成硬块。

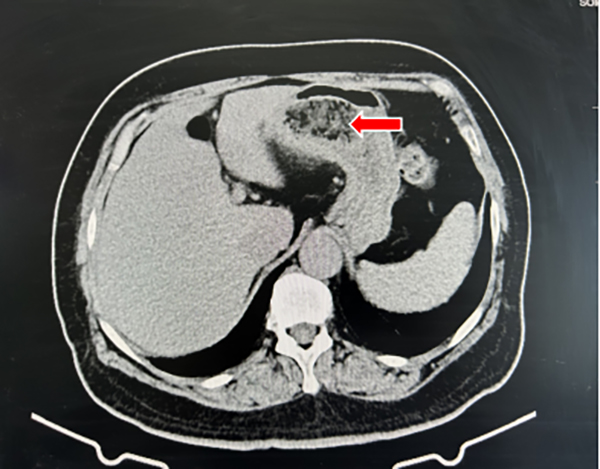
图 1 腹部CT示胃内混杂密度团块
胃石症是怎么形成的
饮食习惯
食用高纤维、难以消化的食物,如柿子、山楂、黑枣等食物,因其富含鞣酸和果胶,在胃酸的作用下,鞣酸与食物中的蛋白质结合形成不溶于水的沉淀物(即鞣酸蛋白),果胶遇酸也可能发生凝结,最终导致胃石症的发生。
空腹吃完柿子、山楂后饮酒、喝茶,或同时食用高蛋白食物,也是形成胃结石的风险因素。

药物影响
某些药物可能会影响胃的排空速度,从而增加胃石的形成。
胃部手术
胃部手术可能会改变胃的正常功能,增加胃石的风险。
其他因素
包括慢性胃炎、胃溃疡、糖尿病等胃部疾病,以及消化功能较差的老人与儿童。

图 2 胃镜下见胃结石 图 3 胃镜下见胃角溃疡
胃石症怎么预防
1. 避免空腹或饮酒后、饮茶后食用柿子、黑枣、山楂等;
2. 避免一次性进食过多上述果品;
3. 食管、胃术后患者、老年人、小儿等胃肠动力差者避免服用上述果品;
4. 进食高蛋白食物(海鲜、肉食、奶制品)前后避免食用上述果品。

胃石症虽然听起来有点吓人,但只要我们了解它、正确对待它,就可以有效地预防和治疗。遇到胃部不适的情况,及时就医,保持健康的生活方式,让胃里的“小石头”无处藏身。
我院消化科拥有电子胃肠镜、放大胃镜、超声内镜、OMOM磁控胶囊内镜、食道阻抗-pH联合监测系统、消化道动力诊疗系统、多通道碳-13呼气检测仪、洗肠机等先进的诊疗设备。
科室以诊治胃食管反流病、急慢性胃炎、消化性溃疡、幽门螺杆菌感染相关疾病、功能性胃肠病、溃疡性结肠炎、脂肪肝、药物性肝损伤、胆囊炎、胰腺炎等消化系统常见病为主,同时常规开展耳穴贴压、中药熏洗、塌漬、热奄包、穴位贴敷等中医治疗技术。
在诊疗过程中“宜中则中,宜西则西,中西并重,各取所长”,积极发挥中西医特色,形成“现代诊疗技术”、“中药”、“中医外治”三合一的综合诊治模式。
下一篇: 健康科普丨“预防流感、守护健康”







京公网安备 11010702002281号