医疗动态
医疗动态丨超声“双效”技术精准诊疗肝脓肿,凸显“诊+治”一体化优势
近日,我院超声诊断科诊治一名肝脏巨大囊实性肿物患者,通过超声造影明确诊断为肝脓肿,并立即在超声引导下实施置管引流术,24小时内引流出脓液近1000ml,患者症状显著缓解。这一病例展现了超声技术在疾病诊断与治疗中的“双效合一”优势,为临床提供了高效、精准的解决方案。
影像检查陷困境 超声造影“一锤定音”
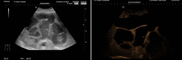
该患者因在外院发现肝脏占位入住我院普外科。入院时腹胀、无腹痛、发热。增强CT和增强MRI均提示肝脏巨大囊实性占位,但无法明确病变性质。入院后完善相关化验检查:白细胞15.76×*10^9/L,中性粒细胞计数13.84×*10^9/L,C反应蛋白128.0mg/L,葡萄糖7.83mmol/L,肿瘤标志物(-),患者有糖尿病病史且血糖控制不佳,且入院后已出现发热症状,考虑肝脓肿可能。普外科请超声医学科会诊:常规超声探查肝左叶可见一囊实性包块,大小约19.9x14.2x15.5cm。即刻行超声造影检查,实时动态观察该病灶的血流灌注方式:病灶内动脉期呈典型的网格样高增强,中央可见无增强区,门脉期及延迟期呈等增强,符合肝脓肿的超声造影表现。

精准穿刺即刻引流 24小时排脓近千毫升
诊断已明确,超声诊断科与普通外科医师讨论后,当机立断在超声实时引导下为患者实施肝脓肿置管引流术。通过超声精准定位脓腔最适宜引流部位,避开血管及重要脏器,一次性成功置入引流管,术中即刻引流出大量黄白色脓液。术后24小时引流量累计近1000ml,患者症状明显改善。

超声“诊治一体化”:快速、精准、微创
从诊断到治疗,超声技术实现了“无缝衔接”。传统检查如CT/MRI虽能发现病灶,但无法实时动态评估,而超声造影不仅能快速鉴别肿瘤与感染性病变,还能同步引导介入治疗,避免患者多次检查或手术创伤。该病例中,超声的“无辐射、实时动态、床旁操作”优势尤为突出,为患者的诊治赢得宝贵时间。
超声引导下肝脓肿穿刺置管引流后,该患者先后在普通外科及消化科的精心治疗与护理下,恢复良好,现已出院。
随着超声技术的不断发展,相信其在疑难肝胆疾病、急诊介入等领域的“诊断- 治疗”一体化模式将惠及更多患者。







京公网安备 11010702002281号