医疗动态
医疗动态丨生命的奇迹——我院脑肿瘤科成功救治菲律宾脑干肿瘤患儿
近日,一位来自菲律宾的2岁女孩阿什利(Ashley Gaille Tan Shiu)在我院脑肿瘤科迎来了她生命的新起点。罹患高风险脑干及颈髓肿瘤的她,历经多次高难度手术和系统化疗,最终在张玉琪教授领衔的多学科团队共同努力下重获新生。
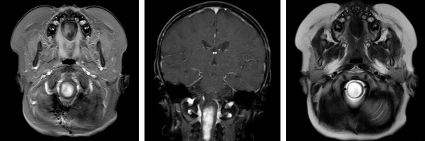
阿什利于3个月前出现头部歪斜、右上肢无力等症状,经当地医院MRI检查发现延髓及颈髓占位,初步诊断为毛细胞星形细胞瘤。尽管在新加坡接受了活检手术,但由于肿瘤位置极其特殊、手术风险极大,仅完成了少量病理取样,未能实现有效切除。高达四十余万元人民币的医疗支出并未换来病情的根本好转,一家人陷入沉重的经济与精神压力之中。
术前影像(MRI)

怀着最后一线希望,阿什利一家跨海越洋,来到我院脑肿瘤科求助。入院时,患儿右侧肢体活动严重受限,面瘫症状逐渐显现。影像检查显示肿瘤位于脑干中央,与周围重要神经结构和血管关系密切,手术难度极大、风险极高。
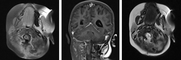
面对这一挑战,由我国著名神经外科专家张玉琪教授率领的手术团队为阿什利实施“枕下后正中入路脑干及颈髓病损切除术”。在四个小时的手术中,张玉琪教授精细操作,在保护周围脑组织、神经与血管的前提下,实现了肿瘤镜下大部切除,术中出血仅100毫升。术后病理证实为毛细胞星形细胞瘤(WHO I级)。
术后影像(MRI)


然而术后恢复之路仍充满波折。因并发脑积水,患儿出现呕吐等症状,经脱水治疗效果不佳。医疗团队与家属充分沟通后,再次为阿什利施行脑室-腹腔分流术,术后脑积水显著改善。与此同时,医院为她制定并实施了系统化疗方案,历经5个周期的药物调整与精心治疗,至今年7月MRI复查显示术区强化灶已完全消失。
目前,阿什利精神、肢体功能均得到明显恢复,病情稳定,继续康复中。她的笑容重新绽放,一个几乎被判定无望的幼小生命,终于在中国的土地上迎来曙光。

张玉琪教授对康复中的患者
阿什利(Ashley Gaille Tan Shiu)进行诊疗检查
本例手术的成功不仅体现了医院在高难度脑干病变领域的精湛技术和综合救治能力,也彰显了中西医结合诊疗模式在疑难脑病治疗中的独特价值。面对跨国医疗合作与人文关怀相融合的新时代,我院将继续秉持“厚德精术、守正创新”的理念,为更多国内外患者守护生命的希望。

张玉琪教授与患者阿什利(Ashley Gaille Tan Shiu)
在这场跨越国界的生命接力中,科学、勇气和爱心共同书写了一段动人的医学篇章。阿什利的故事,不仅是一个家庭的曙光,更成为中外医疗合作与人文交流的美好见证。







京公网安备 11010702002281号