医疗动态
医疗动态 | 人工关节集中带量采购为患者带来福音!
2022年4月25日北京市统一调整人工关节价格,4月30日起,国家组织的人工关节集中带量采购于我市正式开始实施,这可谓发生了翻天覆地的变化,那么这对广大患者来说意味着什么呢?
随着人口老龄化、平均寿命增加,我国中老年人口关节退行性疾病发病率持续升高,尤其以髋膝关节退行性疾病最为显著。许多较为严重的髋膝关节炎患者通过保守治疗已无法获得满意的疗效而不得不选择人工关节置换手术。然而长期以来,人工髋膝关节价格一直处于较高的水平,给许多患者造成了很大的经济压力。还有更多的患者因为无力支付费用,而不得不继续忍受病痛的折磨。
2018年以来,国家医保局会同国家有关部门以带量采购为核心,推进药品和高值医用耗材带量采购改革,经过三年努力,集中带量采购改革已经进入常态化、制度化新阶段。如今国家组织的人工关节集中带量采购中选结果在我市落地实施,患者医疗负担将显著减轻。北京市集采前使用量较多的人工全膝关节价格在3万~5万元左右,人工全髋关节多在4万~6万元左右,集采后全部降到1万元以内,且全部纳入医保支付范围,医保基金按规定比例支付。所以这就意味着人工关节进入“千元时代”!
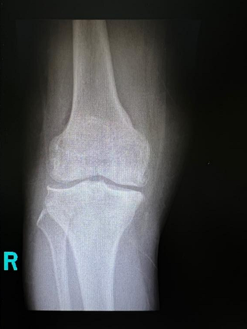
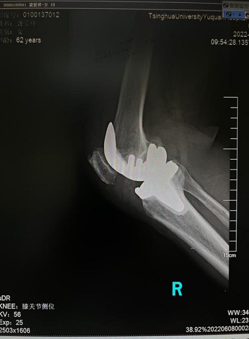
在我院骨科病区,62岁的袭奶奶就享受到了新政策带来的实惠。袭奶奶一直饱受膝关节炎的折磨,膝关节反复疼痛,行走十分困难。她接受了长期的保守治疗,但疗效很差,所以人工膝关节置换是她最后的救命稻草。但苦于人工膝关节价格昂贵,一直没有下定决心接受手术。


袭奶奶一听说人工关节大幅降价后,第一时间就找到骨科贾育松主任,接受了人工全膝关节置换手术。手术效果很好,恢复很快,第二天就在助行器的辅助下站立活动。出院两周后来门诊复查时,走路已完全不需要任何辅助,她表示对治疗效果非常满意,还说赶上了国家的好政策,既治好了病,也节省了治疗费用。


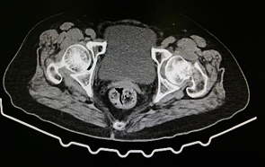
70岁的孙奶奶也成为了新政策的受益者。孙奶奶行走时不慎摔倒导致左髋部剧烈疼痛,无法站立和行走,家属急忙送到医院检查后发现是左侧股骨颈骨折。


包括股骨颈骨折在内的髋部骨折常被称为“人生最后一次骨折”,因为创伤对人体是一次打击,而很多老年人的基础情况较差,往往合并有慢性的心、肺疾病,如果保守治疗往往需要卧床休息。但长期卧床会引起肺部感染、褥疮等等并发症,严重时会危及老年人的生命。所以多等待一分钟,孙奶奶就多一分危险。对孙奶奶的身体进行详细检查后,第二天贾主任就给孙奶奶安排了人工全髋关节置换手术,手术十分顺利,孙奶奶术后第二天就可以在助行器辅助下站了起来。并在骨科进行了一周多的康复训练后顺利出院。


人工髋膝关节置换手术为北京市重点医疗技术。自2022年1月以来,骨科在贾育松主任的带领下,已完成人工髋膝关节置换手术十余台。随着人工关节带量采购政策不断推进及实施,必将有更多的关节疾病患者从中获益,我院骨科也将积极落实国家医疗耗材相关政策,继续为广大患者提供优质的医疗服务。







京公网安备 11010702002281号