动态新闻
成功手术切除婴儿巨大畸胎瘤1例
胎儿期产检便被查出颅内肿瘤,父母坚定信念“只要生命存在,我们绝不会放弃你,我的孩子!”,伟大的母亲是何种的心情承受着多大压力经剖宫产将孩子带到人世间?接下来,又有谁能给父母一丝希望,给孩子一线生机?
患儿母孕期34周产检,B超检查结果示:胎儿右侧丘脑内高回声结节。
患儿母孕期35周产检,胎儿头部MRI检查结果示:室间孔旁异常信号,双侧脑室增宽。
患儿母孕期38周行剖宫产,患儿出生后头皮静脉曲张,囟门张力较高,哭闹较少。
出生45天入院就诊,查体:体重4.5kg,头围44cm,精神状态差,头皮静脉曲张,囟门张力较高,无哭闹,吸吮母乳正常,双侧瞳孔等大等圆,直间接对光反射迟钝,眼球各向活动尚可,双眼不能追物,面纹对称,自主睁眼闭目,四肢活动自如,腱反射正常引出,双侧病理征阴性。
头增强MRI检查结果:第三脑室占位性病变,脑积水。

入院诊断:颅内生殖细胞肿瘤(未成熟/恶性畸胎瘤?内胚窦癌/含内胚窦成分的混合生殖细胞肿瘤?)、梗阻性脑积水。
治疗方案讨论:1、患儿肿瘤恶性程度高,预后差;2、患儿体重不足5kg,肿瘤体积较大,术中出血致失血性休克发生率高,手术难度大,对术者手术技术及手术时间都是极大挑战;3、术后出现下丘脑损伤、内分泌紊乱、电解质紊乱等并发症较多;4、家属表示不放弃治疗,愿承担一切风险接受治疗延长患儿生存期。
确定治疗方案:1、行脑室-腹腔分流术,缓解脑积水症状;2、行新辅助化疗,减少肿瘤血供,增加手术安全性及全切率;3、手术切除肿瘤;4、术后继续辅助化疗。
出生50天,全麻下行右侧脑室-腹腔分流术,分流管压力设置为14cmH2O。术后囟门张力下降,精神状态好转。
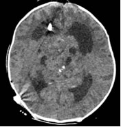
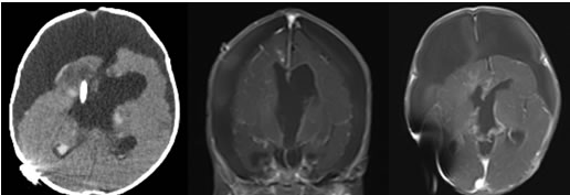
术后复查CT结果:分流管位置佳,肿瘤体积较5天前明显增大。


上一篇: 援疆归来








京公网安备 11010702002281号